Một kế hoạch chi tiết cho các liệu pháp miễn dịch ung thư tốt hơn

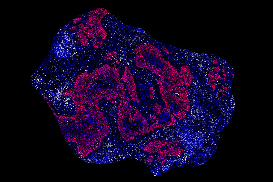
Một khối u phổi không đồng nhất, với các quần thể tế bào khác nhau được mô tả bằng màu đỏ và xanh lam. Sau khi điều trị bằng phong tỏa trạm kiểm soát, các tế bào T (màu trắng) tấn công một số quần thể (màu xanh) nhưng không tấn công các quần thể khác (màu đỏ) – một dấu hiệu cho thấy các liệu pháp phong tỏa trạm kiểm soát có thể không hiệu quả đối với khối u này. Một loại vắc-xin mới từ Phòng thí nghiệm Spranger có thể giúp phong tỏa trạm kiểm soát tấn công tất cả các quần thể tế bào và điều trị hiệu quả khối u.
Ảnh: Elen Torres/Koch Institute
Các liệu pháp phong tỏa điểm kiểm soát miễn dịch (ICB) có thể rất hiệu quả chống lại một số bệnh ung thư bằng cách giúp hệ thống miễn dịch nhận ra các tế bào ung thư đang giả dạng tế bào khỏe mạnh.
Các tế bào T được xây dựng để nhận ra các mầm bệnh cụ thể hoặc tế bào ung thư, mà chúng xác định từ các đoạn protein ngắn được trình bày trên bề mặt của chúng. Những mảnh vỡ này thường được gọi là kháng nguyên. Các tế bào khỏe mạnh sẽ không có cùng các mảnh ngắn hoặc kháng nguyên trên bề mặt của chúng, và do đó sẽ tránh được sự tấn công.
Ngay cả với các kháng nguyên liên quan đến ung thư trên bề mặt của chúng, các tế bào khối u vẫn có thể thoát khỏi sự tấn công bằng cách trình bày một protein điểm kiểm soát, được xây dựng để tắt tế bào T. Các liệu pháp phong tỏa điểm kiểm soát miễn dịch liên kết với các protein “tắt công tắc” này và cho phép tế bào T tấn công.
Các nhà nghiên cứu đã xác định rằng cách các kháng nguyên liên quan đến ung thư được phân phối khắp khối u quyết định cách nó sẽ phản ứng với các liệu pháp trạm kiểm soát. Các khối u có cùng tín hiệu kháng nguyên trên hầu hết các tế bào của nó đáp ứng tốt, nhưng các khối u không đồng nhất với các quần thể tế bào có các kháng nguyên khác nhau, thì không. Phần lớn các khối u rơi vào loại thứ hai và được đặc trưng bởi biểu hiện kháng nguyên không đồng nhất. Bởi vì các cơ chế đằng sau sự phân bố kháng nguyên và đáp ứng khối u chưa được hiểu rõ, những nỗ lực cải thiện đáp ứng điều trị ICB trong các khối u không đồng nhất đã bị cản trở.
Trong một nghiên cứu mới, các nhà nghiên cứu MIT đã phân tích các mẫu biểu hiện kháng nguyên và phản ứng tế bào T liên quan để hiểu rõ hơn lý do tại sao bệnh nhân có khối u không đồng nhất đáp ứng kém với các liệu pháp ICB. Ngoài việc xác định các kiến trúc kháng nguyên cụ thể xác định cách hệ thống miễn dịch phản ứng với khối u, nhóm nghiên cứu đã phát triển một loại vắc-xin dựa trên RNA, khi kết hợp với các liệu pháp ICB, có hiệu quả trong việc kiểm soát khối u trong các mô hình chuột bị ung thư phổi.
Stefani Spranger, phó giáo sư sinh học và là thành viên của Viện nghiên cứu ung thư tích hợp Koch của MIT, là tác giả cao cấp của nghiên cứu, xuất hiện gần đây trên Tạp chí Liệu pháp miễn dịch ung thư. Những người đóng góp khác bao gồm đồng nghiệp của Viện Koch Forest White, Ned C. (1949) và Janet Bemis Rice Giáo sư và giáo sư kỹ thuật sinh học tại MIT, và Darrell Irvine, giáo sư miễn dịch học và vi sinh tại Viện nghiên cứu Scripps và là cựu thành viên của Viện Koch.
Trong khi vắc-xin RNA đang được đánh giá trong các thử nghiệm lâm sàng, thực hành lựa chọn kháng nguyên hiện tại dựa trên sự ổn định dự đoán của các kháng nguyên trên bề mặt tế bào khối u.
“Nó không quá đen trắng,” Spranger nói. “Ngay cả các kháng nguyên không tạo ra sự cắt giảm số lượng cũng có thể là mục tiêu thực sự có giá trị. Thay vì chỉ tập trung vào các con số, chúng ta cần nhìn vào bên trong sự tương tác phức tạp giữa các hệ thống phân cấp kháng nguyên để khám phá các chiến lược điều trị mới và quan trọng”.
Spranger và nhóm của cô đã tạo ra các mô hình chuột bị ung thư phổi với một số mô hình biểu hiện khác nhau và được xác định rõ ràng của các kháng nguyên liên quan đến ung thư để phân tích cách mỗi kháng nguyên tác động đến phản ứng của tế bào T. Họ đã tạo ra cả hai khối u “vô tính”, với cùng một mô hình biểu hiện kháng nguyên trên các tế bào và các khối u “dưới dòng” đại diện cho sự pha trộn không đồng nhất của các quần thể tế bào khối u biểu hiện các kháng nguyên khác nhau. Trong mỗi loại khối u, họ đã thử nghiệm các kết hợp kháng nguyên khác nhau có ái lực liên kết mạnh hoặc yếu với MHC.
Các nhà nghiên cứu phát hiện ra rằng chìa khóa cho phản ứng miễn dịch là mức độ lan rộng của kháng nguyên được biểu hiện trên một khối u, những kháng nguyên khác được biểu hiện cùng một lúc, và sức mạnh liên kết tương đối và các đặc điểm khác của kháng nguyên được biểu hiện bởi nhiều quần thể tế bào trong khối u
Đúng như dự đoán, các mô hình chuột có khối u vô tính có thể gắn kết một phản ứng miễn dịch đủ để kiểm soát sự phát triển của khối u khi được điều trị bằng liệu pháp ICB, bất kể có sự kết hợp của các kháng nguyên yếu hay mạnh. Tuy nhiên, nhóm nghiên cứu phát hiện ra rằng sức mạnh tương đối của các kháng nguyên hiện diện dẫn đến động lực cạnh tranh và sức mạnh tổng hợp giữa các quần thể tế bào T, qua trung gian bởi các chuyên gia nhận dạng miễn dịch được gọi là tế bào đuôi gai trình diện chéo trong các hạch bạch huyết dẫn lưu khối u. Trong các cặp của hai kháng nguyên yếu hoặc hai kháng nguyên mạnh, một quần thể tế bào T kết quả sẽ bị giảm thông qua cạnh tranh. Trong các cặp kháng nguyên yếu và mạnh, đáp ứng tổng thể của tế bào T được tăng cường.
Trong các khối u dưới dòng, với các quần thể tế bào khác nhau phát ra các tín hiệu kháng nguyên khác nhau, cạnh tranh thay vì sức mạnh tổng hợp là quy luật, bất kể sự kết hợp kháng nguyên. Các khối u với quần thể tế bào dưới dòng biểu hiện kháng nguyên mạnh sẽ được kiểm soát tốt dưới điều trị ICB lúc đầu, nhưng cuối cùng các bộ phận của khối u thiếu kháng nguyên mạnh bắt đầu phát triển và phát triển khả năng trốn tránh sự tấn công miễn dịch và chống lại liệu pháp ICB.
Kết hợp những hiểu biết này, các nhà nghiên cứu sau đó đã thiết kế một loại vắc-xin dựa trên RNA được phân phối kết hợp với điều trị ICB với mục tiêu tăng cường phản ứng miễn dịch bị ức chế bởi động lực học điều khiển kháng nguyên. Đáng chú ý, họ phát hiện ra rằng bất kể ái lực liên kết hoặc các đặc điểm khác của kháng nguyên được nhắm mục tiêu, sự kết hợp liệu pháp vắc-xin-ICB có thể kiểm soát các khối u trong mô hình chuột. Sự sẵn có rộng rãi của một kháng nguyên trên các tế bào khối u đã quyết định sự thành công của vắc-xin, ngay cả khi kháng nguyên đó có liên quan đến phản ứng miễn dịch yếu.
Phân tích dữ liệu lâm sàng trên các loại khối u cho thấy sự kết hợp liệu pháp vắc-xin-ICB có thể là một chiến lược hiệu quả để điều trị bệnh nhân có khối u không đồng nhất cao. Các mô hình kiến trúc kháng nguyên trong khối u bệnh nhân tương quan với sức mạnh tổng hợp của tế bào T hoặc sự cạnh tranh trong mô hình chuột và xác định đáp ứng với ICB ở bệnh nhân ung thư. Trong tương lai làm việc với phòng thí nghiệm Irvine tại Viện nghiên cứu Scripps, phòng thí nghiệm Spranger sẽ tối ưu hóa hơn nữa vắc-xin với mục đích thử nghiệm chiến lược trị liệu trong phòng khám.
Phương pháp tiếp cận kết hợp thế hệ tiếp theo cho liệu pháp điểm kiểm soát miễn dịch
- Sangeeta Goswami,
- Kristen E. Pauken,
- Linh Hoa Vương &
- Padmanee Sharma
Miễn dịch học thiên nhiên volume 25, pages2186–2199 (2024)Trích dẫn bài viết này
- 2894 Truy cập
- 96 Altmetric
- Metricsdetails
Trừu tượng
Liệu pháp điểm kiểm soát miễn dịch đã cách mạng hóa việc điều trị ung thư, dẫn đến kết quả lâm sàng ấn tượng cho một nhóm nhỏ bệnh nhân. Tuy nhiên, nhiều bệnh nhân không gặp phải phản ứng lâu dài sau liệu pháp điểm kiểm soát miễn dịch do nhiều cơ chế kháng thuốc, nhấn mạnh sự cần thiết phải có các chiến lược kết hợp hiệu quả nhắm vào các con đường kháng thuốc này và cải thiện đáp ứng lâm sàng. Sự phát triển của các chiến lược kết hợp dựa trên sự hiểu biết về sinh học phức tạp điều chỉnh các phản ứng miễn dịch chống ung thư của con người là một thách thức lớn. Trong Đánh giá này, chúng tôi mô tả bối cảnh hiện tại của các liệu pháp kết hợp. Chúng tôi cũng thảo luận về cách phát triển các chiến lược kết hợp hiệu quả sẽ đòi hỏi phải tích hợp các thử nghiệm lâm sàng nhỏ, giàu mô, để xác định sự nhiễu loạn do trị liệu của hệ thống miễn dịch của con người ảnh hưởng đến các phản ứng sinh học hạ lưu và kết quả lâm sàng cuối cùng, dịch ngược các quan sát lâm sàng sang các mô hình tiền lâm sàng miễn dịch, để thẩm vấn các con đường sinh học cụ thể và tác động của chúng đối với phản ứng miễn dịch chống ung thư, và các phương pháp tính toán mới và học máy, để tích hợp nhiều bộ dữ liệu qua các nghiên cứu lâm sàng và tiền lâm sàng để xác định các con đường phù hợp nhất cần được nhắm mục tiêu cho các chiến lược kết hợp thành công.